VETERINARSKI ARHIV 68 (5), 163-171, 1998
ISSN 0372-5480
Printed in Croatia
Morphological investigations in experimental cases of mercuric poisoning in sheep
Stoytcho Stoev1* and Simona Lazarova2
1Department of Pathomorphology, Faculty of Veterinary Medicine, Thracian University, Stara Zagora, Bulgaria
2Institute of Experimental Pathology and Parasitology, Bulgarian Academy of Science, Sofia, Bulgaria
* Contact address:
Prof. Dr. Stoytcho Dimitrov Stoev,
Department of Pathomorphology,
Faculty of Veterinary Medicine, Thracian University, Students campus, 6000 Stara Zagora, Bulgaria,
Fax: 359 42 45101; E-mail: vmf@tusz.acad.bg
STOEV, S., S. LAZAROVA: Morphological investigation in experimental cases of mercuric poisoning in sheep. Vet. arhiv 68, 163-171, 1998.
ABSTRACT
An experiment was carried out to reproduce chronic mercury poisoning in sheep by treating (per os) with sub-lethal doses of 1% mercuric chloride solution. Pathoanatomical and pathomorphological changes in various internal organs were studied in dynamics by using biopsy materials, as well by slaughtering of sheep during the experiment. Macroscopically, livors (extravasations) were established in the region of head, breast and abdomen; suppurative efflux from the nose; erosive stomatitis; shearing of wool; venous congestion in internal organs; necroses, oedema, haemorrhagic and diphtheroid inflammation in rennet, small intestine and colon; yellow-clayey colour of liver; hyperaemia and haemorrhages in kidneys; hyperaemia and oedema in brain envelope and lungs. Histological examination revealed granular or hyaline degeneration in the epithelium of convoluted tubules in cortex in early stages, and thickened basement tubular membranes, as well slight proliferation of connective tissue and mononuclear cell proliferation predominantly in later stages; granular and lipid degeneration, necroses, activation of Kupffer cells, hyperaemia and pericapillar oedema in liver, abomasitis and duodenitis diphtheroids; degenerative and necrotic changes as well as pericapillar and pericellular oedema in brain and cerebellum.
Key words: mercury, intoxication, pathoanatomy, pathomorphology, sheep
Introduction
Contamination of water, ground and feeds in some highly industrialised regions in the world has caused a great number of cases with mercury poisoning among various animals in recent years. Mercury contamination of feeds and foods of animal origin poses health problems of unknown dimensions both to animals and the general public (LEITA et al., 1991; FALANDYSZ, 1991). As a consequence, interest in mercury intoxication has increased greatly over the past several years.
On the other hand, data concerning the damage which this metal induces in various organs are extremely scarce compared to those available for other heavy metals, which refer predominantly to laboratory animals (BERLIN and GIBSON, 1963; GANOTE et al., 1974; DE ROUGEMONT et al., 1982; KHMELNITSKY et al., 1987; CARMIGNANI et al., 1988). This fact highlights the necessity for detailed investigations into the dynamics of development of a pathomorphologic picture of mercury poisoning with the aim of clarifying pathoanatomical and pathohistological diagnostics of such intoxication, as well as the necessary veterinary-hygienic activity for preventing the exposure of humans to mercury and its compounds.
Materials and methods
An experiment was carried out with the aim of reproducing mercury poisoning in 10 two-year-old sheep (fine-fleeced breed) separated into two groups (5 sheep in each group). Each group was treated 6 times - at the beginning of the experiment and at the 3rd, 6th, 9th, 12th and 15th day from start of experiment (i.e., every third day) with 3.5 mg (sheep in group I) and 7.0 mg (sheep in group II) HgCl2/kg body mass. The mercury was given per os as a 1% mercuric chloride solution. The experimental animals were purchased at approximately the same age and of c. 50-60 kg body mass. Further, a control group of 6 sheep was included in the experiment. All experimental and control sheep had the same living conditions at the same farm. Fresh drinking water and a commercially prepared ration for the sheep were available.
Pathoanatomical and pathomorphological changes in various internal organs were studied in dynamics by using biopsy materials of kidneys and liner of 2 sheep from each group (after laparotomy) at the end of the 10th day from start of experiment, as well by slaughtering (using intravenous injection of "combistress"-0.1 ml/10 kg body mass) of 2 sheep from each group at the end of the 16th day from start of experiment (after final treatment with HgCl2). The remaining sheep (3 from each group) were slaughtered at the end of the 30th day from start of experiment.
Materials for histological examination were taken from kidneys, liver, spleen, lung, gastrointestinal tract, brain and heart of sheep. Materials were fixed in 10% buffered formalin, processed for paraffin embedment at 6 µm and stained with haematoxylin-eosin and PAS. Part of the paraffin-embedded materials were stained with ironhaematoxylin-Van Gieson for proof of hyaline. Other parts of materials were stained, according to Perles, for proof of haemosiderin. Frozen sections were stained with Sudan III for proof of fats.
Results
The main clinical symptoms in the studied poisoning were: depression, loss of appetite, loss of body mass, anorexia and motor disturbance, rapid breathing and pulsus frequens. Suppurative efflux from the nose, conjunctivitis, erosive stomatitis and flow of saliva were often established in the experimental sheep. An intravital disturbance of haemodynamics, as well as intravital livors (extravasations) in region of head, breast and abdomen, were also established, predominantly in sheep of group II. Mucous and, sometimes, bloody diarrhoea, was observed in sheep of the same group after the second week from start of experiment. Tremors and clonic convulsions (clonus) of varying intensity and persistence were also observed in the same sheep. Due to irritation and scratching, shearing of wool was also observed in some animals.
Macroscopic examination during necropsy of experimental sheep at the end of 16th and 30th days established venous congestion in internal organs. Mesenteric blood vessels of examined animals were hyperaemic. The blood was dark-reddish with poor coagulation. Oedema, catarrhal and haemorrhagic (in sheep of group II) inflammation in rennet, small intestine and colon were often observed. A diphtheroid inflammation and ulceration in the mucosa of rennet, and sometimes in duodenum, were established at the end of the 30th day in sheep of group II. Small necroses, ulceration, oedema and haemorrhages were occasionally observed in the mucosa of the initial part of the colon in the same sheep. Mesenterial lymph nodes were oedematous and enlarged. The liver was hyperaemic, with a dark brown-reddish colour, but in some sheep in group II, examined on 30th day, the colour of liver was focally or diffusely yellow-clayey and small grey-white foci (3-5 mm in diameter) were observed on its surface. Gallbladder was often enlarged. Kidneys were of soft consistency, with dark-reddish medulla and individual haemorrhages on their surface. Small grey-white foci (1-2 mm in diameter) were observed on kidney surface in sheep of group II when examined on the 30th day. Haemorrhages and oedema were established in the lung. Myocardium was often pale and flaccid. Spleen was hyperaemic, turgent, of soft consistency and with inconspicuous white pulp. A markedly pronounced hyperaemia and oedema of brain envelope (meninges) was observed. The range between white and grey brain matter was inconspicious.
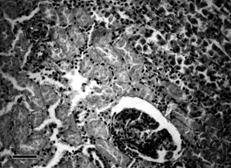
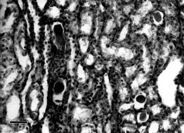
Histological examination of kidneys revealed granular or hyaline droplet degeneration, desquamation, as well small necroses. These were more pronounced in the epithelium of proximal convoluted tubules in cortex (Fig. 1) compared to the distal ones. In some regions of the cortex and medulla small haemorrhages and mononuclear cell infiltration were observed. Some of the glomerules were hypercellular, exhibiting slight endothelial or mesangial proliferation. The capillaries in the medulla were hyperaemic. Degenerative changes in proximal tubules were predominant in early stages (on the 10th day), whereas in later stages (on the 30th day) there was also slight proliferation of connective tissue and mononuclear cell infiltration in the interstitium, as well thickened basement tubular membranes, established by PAS staining. Granular and hyalin casts (proved by ironhematoxylin-Van Gieson staining) or proteinaceous debris in the lumen were observed in some convoluted or collected tubules (Fig. 2).

Fig. 1 Photomicrograph of kidney of sheep in group I. Group I was treated
per os with 6×3.5 mg of mercury in 1% mercuric chloride solution, biopsed
using laparotomy on the 10th day of the experiment. Granular degeneration,
karyolysis, desquamation and disintegration of epithelial cells of proximal
tubules.
H/E; 400 ×; bar = 25 µm.

Fig. 2. Photomicrograph of kidney of sheep in group II. Group II was treated
per os with 6×7.0 mg of mercury in 1% mercuric chloride solution, slaughtered
on the 16th day of the experiment. Hyalin casts in the lumen of tubules.
H/E; 400 ×; bar = 25 µm.
A diffuse granular and lipid degeneration (proved by Sudan III staining of frozen sections) was established in the liver. Small necroses were occasionally observed in some regions, predominantly in sheep of group II in later stages (on the 16th and 30th days of the experiment). Sinusoidal capillaries were hyperaemic and Disse's spaces were enlarged with pericapillar oedema. The activated Kupffer cells were often observed in the lumen of capillaries (Fig. 3).

Fig. 3. Photomicrograph of liver of sheep in group II. Group II was treated
per os with 6×7.0 mg of mercury in 1% mercuric chloride solution, biopsed
using laparotomy on the 10th day of the experiment. Granular and lipid
degeneration in hepatocytes. Enlargement of Disse's pericapillar spaces.
Activated Kupffer cells in the lumen of capillaries.
H/E; 400 ×; bar = 25 µm.
Hyperaemia of blood vessels, perivascular and intermuscular oedema were observed in the myocardium.
The blood vessels of the lung were hyperaemic. Haemorrhages and pronounced oedema in the lung were observed in most cases.
There was pronounced hyperaemia in the spleen and many siderocytes (proved by Perles Staining). Degenerative changes and depletion of cells were established in the lymphatic tissue (lymph nodes) of white pulp of spleen, as well in lymph nodes, more often in group II on the 30th day of the experiment.
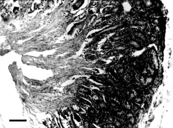
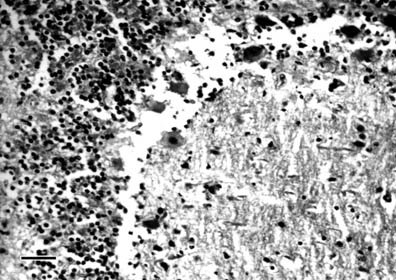
Submucosa of small intestine, colon, rumen and rennet was oedematous and with hyperaemic blood vessels. Degenerative and necrotic changes is superficial and glandular epithelium, as well diffuse haemorrhages, were observed predominantly in the mucosa of rennet, duodenum (Fig. 4) and colon. Diffuse fibrinous necroses (diphtheroid accretions) and ulcera were established in the superficial epithelium and mucosal propria in rennet (Fig. 5) and in the initial part of the duodenum (abomasitis and duodenitis diphtheroids) in sheep of group II on the 30th day of the experiment. Mononuclear infiltration was frequently observed in those necroses and in some regions of lamina propria.

Fig. 4. Photomicrograph of duodenum of sheep in group II. Group II was
treated per os with 6×7.0 mg of mercury in 1% mercuric chloride solution,
slaughtered on the 30th day of the experiment. Degenerative and necrotic
changes in superficial and glandular epithelium. Mononuclear cell infiltration
in lamina propria of intestinal mucosa.
H/E; 200 ×; bar = 50 µm.

Fig. 5. Photomicrograph of abomasus of sheep in group II. Group II was
treated per os with 6×7.0 mg of mercury in 1% mercuric chloride solution,
slaughtered on the 30th day of the experiment. Diffuse fibrinous necroses
(diphtheroid accretions) in the superficial epithelium and mucosal propria.
Focal mononuclear cell infiltration in lamina propria. Oedema in submucosa.
H/E; 200 ×; bar = 50 µm.
Degenerative and lytic changes were also established in the neurons and neuroglial cells of the brain, predominantly in sheep of group II. Occasionally, micronecroses were also observed in grey matter. Pericapillar and pericellular oedema was observed in the brain of these sheep. Degenerative changes (lysis and sclerosis) and oedema were established in the cerebellum, predominantly in the region of Purkinje's cells (Fig. 6). Oedema and degenerative changes were also observed also in the molecular layer of the cerebellum.

Fig. 6. Photomicrograph of cerebellum of sheep in group II. Group II was
treated per os with 6×7.0 mg of mercury in 1% mercuric chloride solution,
slaughtered on the 16th day of the experiment. Oedema in the region of
Purkinje's cells. Lysis in some of Purkinje's cells.
H/E; 250 ×; bar = 40 µm.
The brain envelope (meninges) contained hyperaemic vessels, were thickened, oedematous and with microhaemorrhages.
At the same time, macroscopic and histological examination of the same internal organs in the control group of sheep revealed no pathological changes, nor were clinical symptoms found in the experimental sheep.
Discussion
The main toxic effect of mercuric poisoning is its ability to connect (link) with cell enzymes (of the respiratory chain) and proteins, which disturbs the energy metabolism of target cells in organs participating in its elimination. Mercury also provokes a vascular leakage (vascular damage) into the tissue and development of intestinal oedema (SHARMA, 1988). Vascular damage could be a main reason for various haemorrhages in internal organs.
The mercury accumulates in the liver, kidneys, brain, myocardium and muscles, whereas in chronic cases its accumulation is realised predominantly in bones, reaching a critical concentration (SWENSSON and ULFARSON, 1968; ULFARSON, 1969), after which it begins to be slowly eliminated via urine, faeces, saliva, milk and perspiration (BERLIN and GIBSON, 1963; JOSELOW et al., 1967). This explains the strong degenerative changes in the epithelium of proximal tubules of kidneys (GANOTE et al., 1974; KIRSCHBAUM et al., 1980; DE ROUGEMONT et al., 1982; CARMIGNANI et al., 1988), liver, gastrointestinal tract and skin, established in our experimental cases. The described damage in those organs are most likely due to the route of elimination and detoxification of mercury and its compounds via the same organs. Mercuric excretion via glands of the gastrointestinal tract, saliva and tear secretion induces a strong irritative and toxic effect on these organs, provoking the development of gastro-enteritis, stomatitis and conjunctivitis seen in all studied animals. The damage to myocardium and blood vessels may additionally contribute to the pronounced degenerative changes in the brain (which is oxygen sensitive), observed in our experimental cases.
On the other hand, mercury has a potent immunosuppressive effect (CHRISTENSEN, 1988). This toxic (immunosuppressive) effect is manifested by degenerative changes and depletion of cell in the lymphatic tissue in spleen and mesenterial lymph nodes. This is the main reason for the decrease in resistance of macro-organisms and the development of various secondary bacterial infections provoked by provisional pathogenic micro-organisms (KHMELNITSKY et al., 1987).
Our investigations in mercuric-poisoned sheep confirm in some aspects those made by other authors on various animals (BERLIN and GIBSON, 1963; GANOTE et al., 1974; KIRSCHBAUM et al., 1980; DE ROUGEMONT et al., 1982; CARMIGNANI et al., 1988). On the other hand, in the present study detailed investigations were made into the dynamics of development of a pathomorphological picture of mercuric poisoning in sheep, for which the data in the literature were incomplete. This may contribute to clarifying pathoanatomical and pathohistological diagnosis of this intoxication, which has become ever more problematic during recent years in Bulgaria.
Conclusions
1. Strong degenerative changes in the epithelium of proximal tubules of kidneys, parenchyma of liver, brain, gastrointestinal mucosa and myocardium are probably due to mercury accumulation in the same organs.
2. Perivascular and pericapillary oedema, as well as various haemorrhages in internal organs, could be due to an increase of vascular leakage into the tissue provoked by vascular and endothelial damage through mercuric poisoning.
3. Strong degenerative changes in glandular and superficial epithelium, diffuse fibrinous necroses and ulcera in gastrointestinal mucosa, as well conjunctivitis and skin damage are probably a consequence of the direct irritative and toxic effect of mercury in organs participating in its elimination (excretion).
4. Degenerative changes and depletion of cells in lymphatic tissue of lymphoid organs, as well as an increased number of siderocytes in the spleen, are provoked by the toxic effect of mercury on lymphatic tissue and erythrocytes.
References
BERLIN, M., S. GIBSON (1963): Renal uptake, excretion, and retention of mercury. Arch. Environ. Hlth. 6, 617-625.
CARMIGNANI, M., P. BOSCOLE, G. SABCHEFFONI, G. RIPANTI, G. CARELI (1988): Cardiovascular function, renal ultrastructure and tissue metal levels in rats with long-term exposure to mercuric chloride. Acta Med. Rom. 26, 287-297.
CHRISTENSEN, M. (1988): Toxicity and ultrastructural localization of mercuric chloride in cultured murine macrophages. Arch. Toxicol. 62, 440-446.
DE ROUGEMONT, D., P. F. WINDERLICH, J. TORHORST, M. KELLER, L. PETERS-HAFELI, G. THIEL, F. P. BRUNNER (1982): HgCl2-induced acute failure in the rat. J. Lab. Clin. Med. 99, 646-656.
FALANDYSZ, J. (1991): Manganese, copper, zinc, iron, cadmium, mercury and lead in muscle meat, liver and kidneys of poultry, rabbit and sheep slaughtered in the northern part of Poland-1987. Food Addit. Contam. 8, 71-83.
GANOTE, C. E., K. A. REIMER, R. B. JENNINGS (1974): Acute mercuric chloridenephrotoxicity, an electron microscopic and metabolic study. Lab. Invest. 31, 633-647.
JOSELOW, M., L. J. GOLDWATER, S. B. WEINBERG (1967): Absorption and excretion of mercury in man. Arch. Environ. Hlth. 15, 64-66.
KHMELNITSKY, G. A., V. N. LOKTIONOV, D. D. POLOZ (1987): Veterinary Toxicology (I. G. Arestov, I. M. Rabinovic, Eds), pp 132-140, Agropromizdat, Moskva.
KIRSCHBAUM, B. B., F. M. SPRINKLE, D. E. OKEN (1980): Renal function and mercury level in rats with mercuric chloride nephrotoxicity. Nephron 26, 28-34.
LEITA, L., G. ENNE, M. DE NOBILI, M. BALDINI, P. SEQUI (1991): Heavy metal bioaccumulation in lambs and sheep bred in smelting and mining areas of S. W. Sardinia. (Italy). Bull. Environ. Contam. Toxicol. 46, 887-893.
SHARMA, D. C. (1988): Histochemical study of the metabolism and toxicity of mercury. Curr. Sci. 57, 483-485 (Ind.).
SWENSSON, A., U. ULFARSON (1968): Distribution and excretion of mercury compounds in rats over a long period after a single injection. Acta Pharmacol. et Toxicol. 26, 273-283.
ULFARSON, U. (1969): The effect of the size of the dose on the distribution and excretion of mercury in rats after single intravenous of various compounds. Toxicol. Appl. Pharmacol. 15, 517-524.
Received: 17 February 1998
Accepted: 8 September 1998
STOEV, S., S. LAZAROVA: Morfolosko istrazivanje pokusnih slucajeva otrovanja zivom u ovaca. Vet. arhiv 68, 163-171, 1998.
SAZETAK
Provedeno je pokusno kronicno trovanje zivom u ovaca davanjem (per os) subletalnih doza 1%-tne otopine zivinog klorida. Istrazivane su patoanatomske i patomorfoloske promjene u raznim unutarnjim organima tijekom vremena uporabom materijala dobivenog biopsijom ili klanjem ovaca u pokusu. Makroskopski su utvrdene pjege od izljeva krvi u podrucju glave, prsa i trbuha, gnojni iscjedak iz nosa, erozivni stomatitis, otpadanje vune, venozni zastoj u unutarnjim organima, nekroze, edemi, hemoragicna i difteroidna upala sluznice sirista, tankog i debelog crijeva, zuto-smeda boja jetre, hiperemija i hemoragija bubrega, hiperemija i edem ovojnica mozga i pluca. Histoloska pretraga je u ranim stadijima pokazala granularnu i hijalinu degeneraciju epitela zavijenih tubula bubrezne kore, a pretezno u kasnijim stadijima zadebljalu osnovnu membranu tubula, laganu proliferaciju vezivnog tkiva, proliferaciju mononuklearnih stanica, granularnu i lipidnu degeneraciju, nekroze i aktivaciju Kupfferovih stanica, hiperemiju i perikapilarni edem jetre, difteroidni abomazitis i duodenitis, degenerativne i nekroticne promjene povrsinskog i sluznickog epitela probavnog trakta, degenerativne i liticke promjene velikog i malog mozga kao i perikapilarni i pericelularni edem.
Kljucne rijeci: ziva, otrovanje, patoanatomija, patomorfologija, ovca