VETERINARSKI ARHIV 69 (3), 115-124, 1999
ISSN 1331-8055 Published in Croatia
The influence of sea pollution on the histoenzymatic activity in the gills
and some other organs of the digestive system in mullet (Mugil cephalus)
and
coast crab (Carcinus aestuari Nardo)
Damir Mihelic1*, Alen Slavica2, Vesna Gjurcevic-Kantura1, Zdravko Janicki2, and Kresimir Babic1
1Department of Anatomy, Histology and Embryology, Faculty of Veterinary Medicine, University of Zagreb, Zagreb, Croatia
2Chair for Biology and Pathology of Wild Animals, Faculty of Veterinary Medicine, University of Zagreb, Zagreb, Croatia
* Contact address:
Doc. Dr. Damir Mihelic,
Department of Anatomy, Histology and Embryology,
Faculty of Veterinary Medicine, University of Zagreb, Heinzelova 55, 10000
Zagreb, Croatia,
Phone: 385 1 23 90 247; Fax: 385 1 214 697; E-mail: mihelic@rudjer.irb.hr
Mihelic, D., A. Slavica, V. Gjurcevi-Kantura, Z. Janicki, K. Babic: The influence of sea pollution on the histoenzymatic activity in the gills and some other organs of the digestive system in mullet (Mugil cephalus) and coast crab (Carcinus aestuari Nardo). Vet. arhiv 69, 115-124, 1999.
ABSTRACT
Sea pollution by various organic and inorganic matters has become an increasingly serious problem. Irrespective of their origin, pollutants - especially those in harbours - have a hazardous effect on living marine organisms. The mullet (Mugil cephalus) inhabits harbours that are rich in food. The coast crab (Carcinus aestuari Nardo) is also frequently found there. Our study was designed to elucidate the activity of oxidative enzymes (LDH, SDH and NADPH) in the gills, liver, digestive gland, stomach and intestines of mullet and coast crab in two sites: Zadar's marina and harbour, and the area southeast of Krbela island. The activity of NADPH, and particularly that of LDH and SDH, showed increased activity, notably in the gills and liver of both species from the Zadar marine and harbour. LHD activity in the gills, liver, stomach and intestines of coast crab from the Zadar site was more marked than in mullet from the same group. The activity of oxidative enzymes ithe studied organs of mullet and coast crab inhabiting the Zadar site indicated effects of heavy metals, oil and oil derivatives, kaolin, chlorinated hydrocarbons and pesticides on the body.
Key words: coast crab, Carcinus aestuari, mullet, Mugil cephalus, sea pollution, oxidative enzymes, liver, digestive gland, gills, stomach, intestines, Adriatic Sea, Croatia
Introduction
Sea contamination by organic and inorganic substances has become an increasingly serious problem, especially in harbours and in the vicinity of industrial zones. Pollution particularly affects living organisms. Waste substances generated by various industries: heavy metals, oil derivatives, pesticides, polychlorinated biphenyls, etc. are often found in the sea and in coastal waters. Some of these materials settle on the sea bottom while some remain in water in a free form (Rodriguezariza et al., 1993; Vigano et al., 1995; Roark and Brown, 1996; Lindstromseppa et al., 1996; Vanderoost et al., 1996). Others, such as heavy metals (lead, zinc, cadmium, mercury) accumulate in the body and reduce biotransformation, thus affecting histoenzymatic activity, notably of the liver, gills and kidneys (KozariC at al., 1992a; KozariC et al., 1992b; SreboCan et al., 1992; KozariC et al., 1993a; KozariC et al., 1993b; Romeo et al., 1994). They may also alter genetic structure (Roark and Brown, 1996). Some authors have studied the effect of cadmium, lead and mercury on freshwater fish (SreboCan et al., 1993; SreboCan et al., 1995; SreboCan, 1997). GomerCiC et al. (1994) have examined the toxic effect of mercury chloride, cadmium chloride and lead acetate in different concentrations on Adriatic shrimps, which was manifested by a lethal effect of up to 90%, depending on the concentration and type of heavy metal.
Materials in wastewaters need not necessarily exert a direct effect on the metabolism or on genetic features but they do generate stress, which has further effects on the body. Over time, however, fish can develop some kind of stress resistance, i. e. immunity to the pollution that leads to stress (Lindstromseppa et al., 1996).
Studies have shown that pollution is higher and more common along the coast, rather than in the open sea. Consequently, its effects on living organisms are more frequent and marked in coastal regions.
Our study was designed to detect the presence and the extent of the activity of oxidative enzymes (LDH, SDH, NADPH) in the organs of Mugil cephalus and Carcinus aestuari Nardo in the sea pollution area, both from the Zadar harbour and marina, and from the unpolluted sea area southeast of Krbela island.
Materials and methods
Our studies were carried out on the organs of two groups of the mullet (Mugil cephalus) and the coast crab (Carcinus aestuari Nardo). The first comprised the gills, livers, digestive gland, stomach and intestines of both species from the sea southeast of Krbela island, (Mugil cephalus 27 and Carcinus aestuari Nardo 23 samples), while the second comprised the same organs of species from the Zadar marina and harbour (Mugil cephalus 36 and Carcinus aestuari Nardo 19 samples) in the Adriatic Sea in Croatia.
Fresh organs were frozen at -40 °C and the cryocuts, 6 µm-thick slices, were stained with haematoxylin and eosin. The other tissue parts were cut, cryocut 6 µm thick, and were stained to determine the activity of succinic acid dehydrogenase (SDH), lactic acid dehydrogenase (LDH), nikotinamidadenin dinucleotide phosphate dehydrogenase (NADPH) (Pearse, 1968).
Results and discussion
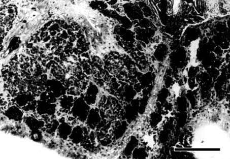
Haematoxylin and eosin stained cuts of gills of species from the Zadar marina and harbour showed hyperplasia and hypertrophy of the epithelial cells and infiltration of lymphocytes (Fig. 1). An increased number of chloride cells and their hypertrophy could be noted (Fig. 2). The liver was plethoric with narrow bands of a lighter area, indicating cirrhotic changes. Similar changes are produced by cadmium, chlorine, kaolin or oil and its derivatives, heavy metals, chlorinated hydrocarbonates and pesticides. These changes were in accordance with those recorded by KozariC et al. (1993b). However, KrajnoviC-OzretiC et al. (1997) have described the presence of lipid vacuolisation in the liver of sea bass fed with synthetic food.

Fig. 1. Gills of mullet from poluted sea water in Zadar harbour. Hypertrophia and hyperplasia of epithelial cells and infiltration of lymphocytes. 10×3.125; bar=10 µm

Fig. 2. Gills of mullet from poluted sea water in Zadar harbour. Hyperthrophy and increased number of chloride cells. 10×3.75; bar=10 µm
LDH exerted a minor activity in the gills, liver, digestive gland, stomach and intestines of mullet and coast crab (Fig. 3) caught southeast of Krbela island (Tables 1 and 4). A similar finding was described by GomerCiC and GomerCiC (1990) who have examined the activity of oxidative and hydrolytic enzymes in some organs of Galathea squamifera. The organs of mullet from the Zadar marina and harbour indicated a strong activity of LDH in gills and liver, and a moderate activity in the stomach and intestines (Table 2). The gills and digestive gland of coast crab from Zadar marina and harbour were very markedly affected, and markedly in stomach and intestines (Table 3).

Fig. 3. Liver of mullet from clean sea water from the area southeast of Krbela island. Plethoric and chirotic changes. 10×2.5; bar=10 µm
Table 1. Activity of LDH, SDH and NADPH of mullet (Mugil cephalus) from the area southeast of Krbela island
|
liver |
gills |
stomach |
intestine |
|
|
LDH |
+ |
+ |
+ |
+ |
|
SDH |
++ |
+/++ |
+ |
+ |
|
NADPH |
+++ |
+++ |
++ |
++ |
+=very weak; ++=moderate; +++=strong; ++++=very strong; LDH-lactate dehydrogenase; SDH-succinate dehydrogenase; NADPH-nikotinamidadenin dinucleotide phosphate dehydrogenase
Table 2. Activity of LDH, SDH and NADPH of mullet (Mugil cephalus) from Zadar marina and harbour
|
liver |
gills |
stomach |
intestine |
|
|
LDH |
+++ |
+++ |
++ |
++ |
|
SDH |
+++ |
+++ |
++ |
++ |
|
NADPH |
++++ |
++++ |
+++ |
+++ |
+=very weak; ++=moderate; +++=strong; ++++=very strong; LDH-lactate dehydrogenase; SDH-succinate dehydrogenase; NADPH-nikotinamidadenin dinucleotide phosphate dehydrogenase
Table 3. Activity of LDH, SDH and NADPH of coast crab (Carcinus aestuari) from Zadar marina and harbour
|
digestive gland |
gills |
stomach |
intestine |
|
|
LDH |
++++ |
++++ |
+++ |
+++ |
|
SDH |
+++ |
+++ |
++ |
++ |
|
NADPH |
++++ |
++++ |
+++ |
+++ |
+=very weak; ++=moderate; +++=strong; ++++=very strong; LDH-lactate dehydrogenase; SDH-succinate dehydrogenase; NADPH-nikotinamidadenin dinucleotide phosphate dehydrogenase
Table 4. Activity of LDH, SDH and NADPH of coast crab (Carcinus aestuari) from the area southeast of Krbela island
|
digestive gland |
gills |
stomach |
intestine |
|
|
LDH |
+ |
+ |
+ |
+ |
|
SDH |
+++ |
+++ |
+ |
+ |
|
NADPH |
+++ |
+++ |
++ |
++ |
+=very weak; ++=moderate; +++=strong; ++++=very strong; LDH-lactate dehydrogenase; SDH-succinate dehydrogenase; NADPH-nikotinamidadenin dinucleotide phosphate dehydrogenase
Increased activity of lactic acid dehydrogenase in the gills, liver, digestive gland, stomach and intestines of mullet and coast crab from Zadar marina and harbour pointed to pronounced cell metabolism.
Succinic acid dehydrogenase had a moderate activity in the gills, liver and digestive gland of mullet and coast crab southeast of Krbela island, but a poor activity in stomach and intestines. As for the second group of animals (from the Zadar marina and harbour), SDH exerted a strong activity in gills and liver, but only a moderate activity in stomach and intestines.
These results indicate that the change in the activity of succinic and lactic acid dehydrogenase was due to sea pollution (Tables 1, 2, 3 and 4). These results were actually indicators of heavy metals, as they enhanced the activity of lactic and succinic acid dehydrogenase. Pronounced activity of lactic acid dehydrogenase in the gills, liver, digestive gland, stomach and intestines of mullet and coast crab from the Zadar site indicated an elevated sensitivity of the crabs to pollution.
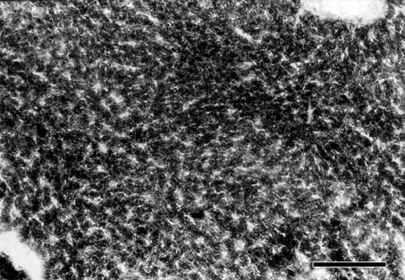
NADPH exerted a strong activity in the gills and digestive gland of coast crab from the area southeast of Krbela island, and a moderate activity in stomach mucosa and intestines (Fig. 4, Tables 1 and 4). A very strong activity of NADPH was recorded in the gills, liver and digestive gland cells of both animal species from the Zadar site (Fig. 5) and a pronounced activity in stomach and intestinal cells (Tables 2 and 3).

Fig. 4. Intestines of coast crab from clean sea water from the area southeast of Krbela island. LDH activity. 20×2.5; bar=10 µm

Fig. 5. Stomach of coast crab from clean sea water from the area southeast of Krbela island. NADPH activity. 10×2.5; bar=10 µm
A similar activity in the organs of mullet and coast crab from the same site indicated enhanced metabolism in the gills, liver and digestive gland, which were most exposed to pollution.
The activity of oxidative enzymes in the organs of mullet and coast crab from the Zadar marina and harbour was superior to that from the area southeast of Krbela island. Nevertheless, indications of intoxication by heavy metals, oil and its derivatives, or pesticides, could not be recorded in mullet. A similar finding was recorded by Erben et al. (1988) in the Porec region, where they found Blenniidia sanguinolentus only in polluted sea. This evidences its good stress resistance and is in compliance with the findings of other authors (Schreck and Lorz, 1978; Lindstromseppa et al., 1996; Burgeot et al., 1994; Romeo et al., 1994; Rodriguezariza et al., 1993; Vandersoot et al., 1994) and which could be manifested by strongly parasitical invasion (Erben et al., 1988). A similar conclusion can be arrived at for the coast crab.
Conclusions
The activity of LDH in the gills, liver, digestive gland, stomach and intestines of mullet (Mugil cephalus) and coast crab (Carcinus aestuari Nardo) from the area southeast of Krbela island was poor. A pronounced activity was recorded in the gills and digestive gland of coast crab and a mmoderate activity in the stomach and intestines of mullet from Zadar marina and harbour. The gills and digestive gland of coast crab from the same group were very markedly affected, with stomach and intestines markedly affected.
The activity of oxidative enzymes in coast crab from Zadar marina and harbour was somewhat more pronounced than in the mullet. This indicated the higher sensitivity of coast crab to sea pollution.
The organs (gills, liver, digestive gland, stomach and intestines) of mullet and coast crab from Zadar marina and harbour showed that the activity of LDH, SDH and NADPH at that site was more pronounced than at the Krbela site. This was an indicator of sea pollution by heavy metals, chlorine, oil and its derivatives, kaolin, pesticides and chlorinated hydrocarbons. Their action is evidenced in the changes of the studied organs of mullet and coast crab.
References
BURGEOT, T., G. BOCQUENE, P. TRUQUET, L. LEDEAN, F. GALGANI (1994): Induction of erode activity in red mullet (Mullus barbatus) along the French Mediterranean coasts. Sci. Total Environ., 142, 213-220.
ERBEN, R., S. LEINER, H. GOMERCIC, J. POPOVIC (1988): Porodica Blenniidiae (babice) iz litorala okolice Poreca. Ichthyos 6, 12-22.
GOMERCIC, V., H. GOMERCIC (1990): Histokemijske osobitosti divljeg strigljaca (Galathea squamifera Leach) iz neociscenog mora. Pomorska medicina V. Pomorska biblioteka 543-548. Mornaricki glasnik. Beograd.
GOMERCIC, H., V. GOMERCIC, S. VUKOVIC, D. SKRTIC, A. GOMERCIC (1994): The acute toxicity of mercuric chloride, lead acetate and cadmium chloride for the shrimps (Palaemon squilla, L.) from the unpolluted sea water. Proceedings of abstracts of the papers presented at The fifth congress of Croatian biologists. Hrvatsko biološko društvo. Zagreb. pp. 361-362.
KOZARIC, Z., R. NOVAK, E. SREBOCAN (1992a): Effects of cadmium chloride on some hydrolase activities in the liver and kidney of the carp (Cyprinus carpio L.). Vet. arhiv 62, 43-50.
KOZARIC, Z., R. NOVAK, E. SREBOCAN (1992b): Some hydrolase activities in the liver of a few marine teleosts. Vet. arhiv 62, 245-251.
KOZARIC, Z., R. NOVAK, E. SREBOCAN, N. KEZIC (1993a): Short-term effect of hexavalent chromium in water on glycogen content and activities of some enzymes involved in carbohydrate metabolism in the liver of the carp (Cyprinus carpio L.). Vet. arhiv 63, 39-45.
KOZARIC, Z., R. NOVAK, E. SREBOCAN (1993b): Histopathological changes in the gills of some marine teleosts. Vet. arhiv 63, 209-215.
KRAJNOVIC-OZRETIC, M., B. OZRETIC, H. GOMERCIC, S. PETROVIC (1997): Effect of experimental starvation on the liver histology, haematology and blood biochemistry of the farmed sea bass (Dicntrarchus labraks L.). Proceedings of abstracts of the papers of The sixth congress of Croatian biologists. Hrvatsko biolosko drustvo. Zagreb. pp. 140-141.
LINDRSTROMSEPPA, P., S. ROY, S. HUUSKONEN, K. TOSSAVAINEN, O. RITOLA, E. MARIN (1996): Biotransformation and glutathione homeostasis in rainbow trout exposed to chemical and physical stress. Mar. Environ. Res. 42, 323-327.
PEARSE, A. E. G. (1968): Histochemistry, Theoretical and Applied. Vol I. Churchill Livingstone. Edinburgh and London.
ROARK, S., K. BROWN (1996): Effects of metal contamination from mine tailings on allozyme distributions of populations of great plains fishes. Environ. Toxicol. Chem. 15, 921-927.
RODRIGUEZARIZA, A., J. PEINADO, C. PUEYO, J. LOPEZBAREA (1993): Biochemical inductions of oxidative stress in fish from polluted littoral areas. Can. J. Fish. Aquat. Sci. 50, 2568-2573.
ROMEO, M., A. MATHIEU, M. GNASSIABARELLI, A. ROMANA, M. LAFAUIE (1994): Heavy metal content and biotransformation enzymes in 2 fish species from the NW Mediterranean. Mar. Ecol-Prog. Ser. 107, 15-22.
SCHRECK, C. B., H. W. LORZ (1978): Stress response of coho salmon (Onchorhynchus kisutch) elicited by cadmium and cooper and potential use of cortisol as an indicator to stress. J. Fish. Res. Board. Can., 35, 1124-1129.
SREBOCAN, E., Z. KOZARIC, J. POMPE-GOTAL, N. KEZIC, R. NOVAK (1992): Raspodjela kadmija i njegov utjecaj na histoloske i histokemijske karakteristike jetre i bubrega sarana. Vet. arhiv 62, 99-109.
SREBOCAN, E., J. POMPE-GOTAL, V. SREBOCAN, A. PREVENDAR-CRNIC (1993): Monitoring of mercury, lead and cadmium concentrations in animals in the Republic of Croatia. I. Sources and magnitude of mercury contamination in freshwater fish. Vet. arhiv 63, 217-225.
SREBOCAN, E., J. POMPE-GOTAL, V. SREBOCAN, A. PREVENDAR-CRNIC (1995): Monitoring of mercury, lead and cadmium concentrations in animals in the Republic of Croatia. I. Sources and magnitude of lead contamination in freshwater fish. Vet. arhiv 65, 93-100.
SREBOCAN, E., J. POMPE-GOTAL, V. SREBOCAN, A. PREVENDAR-CRNIC (1997): Monitoring of mercury, lead and cadmium concentrations in animals in the Republic of Croatia. I. Sources and magnitude of cadmium contamination in freshwater fish. Vet. arhiv 67, 137-144.
VANDEROOST, R., A. GOKSOYR, M. CALENDER, H. HEIDA, N. P. E. VERMEULEN (1996): Biomoritoring of aquatic pollution with feral eel (Anguilla anguilla). 2. Biomarkers - pollution - induced biochemical responses. Aquat. Toxicol. 36, 189-222.
VIGANO, L., A. ARILLO, F. MELODIA, M. BAGNASCO, C. BENNICELLI, S. DEFLORA (1995): Hepatic and biliary biomarkers in rainbow trut injected with sediment extracts from the river Po (Italy). Chemosphere 30, 2117-2128.
Received: 16 February 1999
Accepted: 16 June 1999
Mihelic, D., A. Slavica, V. Gjurcevic-Kantura, Z. Janicki, K. BabiC: Utjecaj zagadenosti mora na histoenzimsku aktivnost u skrgama i nekim organima probavnog sustava glavatog cipla (Mugil cephalus) i obicnog vodara (Carcinus aestuari Nardo). Vet. arhiv 69, 115-124, 1999.
SAZETAK
More je svakim danom sve oneciscenije razlicitim organskim i anorganskim tvarima. Oneciscenja, posebice u lukama, bilo organska bilo anorganska nepovoljno utjecu na zive organizme u moru. Riba glavati cipal (Mugil cephalus) je redovito prisutna u lukama gdje ima obilje hrane, a uz nju se cesto moze naci i rak obicni vodar (Carcinus aestuari Nardo). Istrazili smo aktivnost oksidativnih enzima (LDH, SDH i NADPH) u skrgama, jetri, probavnoj zlijezdi, zelucu i crijevima glavatog cipla i obicnog vodara ulovljenih u moru marine i luke u Zadru te s jugoistocne strane otoka Krbele. Aktivnost NDPH, a posebice LDH i SDH pokazuje pojacanu aktivnosti u istrazenim organima, sto se osobito istice u skrgama i jetri odnosno probavnoj zlijezdi skupine riba i rakova ulovljenih u marini i luci u Zadru. Aktivnost LDH u skrgama, probavnoj zlijezdi, zelucu i crijevu obicnog vodara iz marine i luke u Zadru bila je nesto jaca nego u iste skupine glavatih cipala. Aktivnost oksidativnih enzima u istrazenim organima glavatog cipla i obicnog vodara iz mora marine i luke u Zadru ukazuju na izvrgnutost organizama utjecaju teskih metala, nafte i naftnih derivata, kaolina, kloriranih hidrokarbonata i pesticida.
Kljucne rijeci: obicni vodar, Carcinus aestuar, glavati cipal, Mugil cephalus, oneciscenje mora, oksidativni enzimi, jetra, probavna zlijezda, skrge, zeludac, crijeva, Jadransko more, Hrvatska