VETERINARSKI ARHIV 69 (3), 149-159, 1999
ISSN 1331-8055 Published in Croatia
Radiological picture of post-traumatic
osteomyelitis in dogs
Michail Pascalev*
Department of Surgery and Radiology, Faculty of Veterinary Medicine,
University
of Thrace, Stara Zagora, Bulgaria
* Contact address:
Assistant Professor Dr. Michail Pascalev,
Department of Surgery and Radiology,
Faculty of Veterinary Medicine, University of Thrace, 6000 Stara Zagora,
Bulgaria,
Phone: 359 42 530 78; Fax: 359 42 395 46
Pascalev, M.: Radiological picture of post-traumatic osteomyelitis in dogs. Vet. arhiv 69, 149-159, 1999.
ABSTRACT
The radiological picture of canine post-traumatic osteomyelitis has been monitored in 22 dogs of different breeds and in different types of orthopaedic surgery. The principal radiological features of osteomyelitis in dogs have been described, according to post-operative time. It was concluded that the polymorphism in the radiological picture of canine post-traumatic osteomyelitis was the cause of its complicated diagnostics. The monitoring of radiological features in dynamics every two weeks was proposed in order to assist their proper interpretation, and more complete and more definite diagnosis.
Key words: osteomyelitis, radiology, dog
Introduction
Osteomyelitis represents a suppurative infection of bone tissue with a progressive course, without a tendency for spontaneous recovery, characterized by a varying radiological picture (Hulin, 1970).
According to Stead (1984), the main radiological signs of post-traumatic osteomyelitis in dogs are: bone destruction, and formation of atrophic foci of different sizes in the bone. The same author also reports massive periosteal effects, covering the periosteum during repositioning of bone fragments. In some cases, sequestra and false joints are formed.
Caywood (1983) has radiologically observed osteolytic changes with periosteal effecs as early as 10-14 days from the beginning of the infection.
Wigney et al. (1990) radiologically compared bone affected by osteomyelitis with being "moth-eaten". Typical signs, described by Booth and Feeney (1982) and Braden (1991), are soft tissue oedema, irregular periosteal reaction, cortical lysis and changes in the medullar cavity.
Therefore, the radiologic picture of osteomyelitis in the dog is various and the proper radiologic diagnosis in the early and the very late stages of the disease is difficult to make (Chastang, 1976; Popkirov, 1987; Braden et al., 1989). These facts provide sufficient reason to observe a large number of cases of canine posttraumatic osteomyelitis in various stages of its development in order to describe in detail the most important radiological symptoms.
Materials and methods
Studies were performed on 22 dogs referred to the Surgical Clinic of the Faculty of Veterinary Medicine, Stara Zagora, Bulgaria. Osteomyelitis developed in 22 of 194 fractures healed over a five-year period. The breed, age, body mass of dogs, the affected bone and the type of orthopaedic surgery are presented in Table 1.
Table 1. Basic data and clinical records in studied dogs with post-traumatic osteomyelitis
|
No. of clinical protocol |
Breed |
Age |
Body mass |
Bone affected |
Type of orthopedic surgery |
Isolated microorganisms |
|
1/21.05.89 |
Dobermann |
12 |
25 |
metatarsal bones (open fracture) |
splint fixation |
P. aeruginosa, |
|
2/02.04.89 |
Dobermann |
36 |
32 |
humerus |
Rush pinning |
S. aureus, Enterobacter |
|
3/16.02.90 |
German shepherd |
24 |
32 |
humerus |
intramedullar pinning |
E. coli O78, |
|
8/30.11.90 |
Collie |
15 |
30 |
humerus |
intramedullar pinning |
E. coli O78 |
|
9/05.12.90 |
Hound |
48 |
12 |
tibia |
plate osteosynthesis |
E. coli O2 |
|
10/26.03.91 |
Dobermann |
28 |
35 |
femur |
intramedullar pinning |
E. coli O26, Staph. sp., |
|
11/28.03.91 |
Dobermann |
18 |
25 |
humerus |
intramedullar pinning |
- |
|
12/08.04.91 |
Poodle |
48 |
5 |
femur |
intramedullar pinning |
S. aureus |
|
14/04.05.91 |
Collie |
13 |
14 |
tibia |
intramedullar pinning |
P. vulgaris |
|
17/18.05.91 |
Collie |
11 |
22 |
femur |
intramedullar pinning |
S. pyogenes, Enterobacter |
|
24/24.09.91 |
Dobermann |
8 |
19 |
femur |
intramedullar pinning |
- |
|
26/16.09.92 |
Hound |
48 |
18 |
tibia |
plate osteosynthesis |
E. coli O78, |
|
27/13.01.93 |
Dobermann |
10 |
23 |
femur |
intramedullar pinning |
M. morganii, |
|
28/21.04.93 |
mixed breed |
60 |
14 |
tibia |
external fixation |
P. aeruginosa |
|
29/08.04.93 |
Hound |
24 |
20 |
radius, ulna |
plate osteosynthesis |
E. coli O78 |
|
31/18.02.93 |
German shepherd |
12 |
30 |
radius, ulna |
intramedullar pinning |
S. pyogenes, |
|
32/17.05.93 |
Dobermann |
18 |
24 |
femur |
intramedullar pinning |
S. aureus, |
|
33/02.11.93 |
Collie |
24 |
28 |
humerus |
intramedullar pinning |
P. vulgaris |
|
38/28.11.94 |
Setter |
48 |
24 |
radius, ulna |
plate osteosynthesis |
P. vulgaris |
|
42/18.01.95 |
Poodle |
60 |
6 |
humerus |
intramedullar pinning |
E. coli O78 |
|
48/05.06.95 |
Schnautzer |
11 |
26 |
radius, ulna |
plate osteosynthesis |
S. aureus |
|
56/09.05.96 |
Poodle |
36 |
8 |
radius, ulna |
intramedullar pinning |
S. aureus |
Osteomyelitis developed in open fractures in six cases, and in the other sixteen - after operative treatment of closed fractures. Fourteen fractures comprised two or more fragments, and eight were single (oblique and transverse).
Radiographs were taken in the common projections for the different bones, using TUR-800 radiologic equipment.
In describing the presence of a sequestrum we introduced two new terms: primary and secondary sequestrum. The primary sequestrum represents a bone fragment or fragments, resulting from trauma that was not incorporated, but afterwards rejected. The secondary sequestrum is a bone fragment that becomes necrotic as a consequence of impaired blood flow.
Results
In 13 dogs, osteomyelitis was accompanied by inflammation of adjacent soft tissues in the first several post-operative days. The other nine demonstrated a high degree of lameness, and fistulas appeared after 6-12 weeks. Crepitation, and mobility at the fracture site were established in 17 dogs.
In 13 cases (59%) there was a soft tissue swelling, and four of them developed periosteal abscesses. Radiologically, this was manifested by a loss of demarcation between the muscles, and increased soft tissue density. In cases of abscesses in the muscles around the bones, there appeared zones of radiolucency with rounded shapes and of different size (Table 2).
Table 2. Time of the onset of the commonest radiological signs in canine post-traumatic osteomyelitis
|
Radiological sign |
1-2 |
2-4 |
4-6 |
6-8 |
8-10 |
10-12 |
After 12 |
|
|
Soft tissue swelling |
13 |
- |
2 |
1 |
- |
- |
- |
|
|
Periostal abscesses |
4 |
- |
- |
- |
- |
- |
- |
|
|
Loosening of fixation elements |
IMP |
2 |
13 |
- |
- |
1 |
- |
- |
|
plate |
- |
2 |
- |
- |
- |
- |
- |
|
|
Periostal reaction |
- |
20 |
- |
- |
2 |
- |
- |
|
|
Sequestrae |
primary |
- |
- |
11 |
2 |
- |
- |
- |
|
secondary |
- |
- |
3 |
2 |
- |
1 |
1 |
|
|
Sclerotic zone |
- |
- |
5 |
14 |
- |
- |
- |
|
|
Fistulation |
- |
- |
5 |
7 |
- |
1 |
2 |
|
|
Brodie's abscess |
- |
3 |
- |
3 |
- |
- |
- |
|
In 13 cases (59%) there was a soft tissue swelling, and four of them developed periosteal abscesses. Radiologically, this was manifested by a loss of demarcation between the muscles, and increased soft tissue density. In cases of abscesses in the muscles around the bones, there appeared zones of radiolucency with rounded shapes and of different size (Table 2).
Between weeks 2 and 4, twenty dogs (90%) radiologically presented an irregular-shaped periosteal reaction with new bone formation (Fig. 1). A characteristic feature was that this occurred far from the fracture site, along the bone. In some cases, there were spicule-like formations with denser shadows (Figs. 2 and 5). In the event that a fragment of a comminuted fracture became necrotic, that is, that it turned into a primary sequestrum, it was surrounded by a dense shadow - a product of the periosteum (Fig. 3). During the development of osteomyelitis we observed a loosening of fixation implants in 15 dogs (68%). On radiographs, the condition was seen as zones of radiolucency around the implants, and after destabilisation of fractures - there was a formation of a callus in the place of mobility without healing (Fig. 4).

Fig. 1. Lateral radiograph of the humerus in patient 33/02.11.93, two weeks after osteosynthesis. The arrows show an irregular-shaped periosteal reaction.

Fig. 2. Lateral radiograph of the humerus in patient 33/02.11.93, three weeks after osteosynthesis. The arrows show spicule-like formations - a product of the periosteum.

Fig. 3. Lateral radiograph of the femur in patient 10/26.03.91, four weeks after osteosynthesis. The crosses show the primary sequestrum, and arrows periosteal growth surrounding the sequestrum.

Fig. 4. Anterior-posterior radiograph of the tibia in patient 26/16.09.92, four weeks after osteosynthesis. The arrows show a zone of radiolucency around the screws - a sign of screw loosening.

Fig. 5. Lateral radiograph of the femur in patient 27/13.01.93. Thin arrows show a Brodie's abscess; the cross (+) - osteosclerosis surrounding the abscess; the thick arrows - sunburst-like formations of the periosteum.
During that period, in 3 dogs (13%), a Brodie's abscess was formed - zones of radiolucency (osteolysis) with a round or irregular shape, surrounded by a denser ring (osteosclerosis). This radiological sign was characteristic of inflammations in the metaphyses of long bones (Fig. 5).
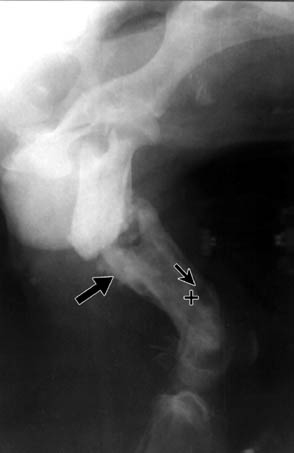
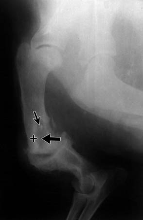
Between weeks 4 and 6, the most characteristic feature was the formation of sequestra - in 14 dogs (64%) and surrounding osteosclerotic zones in 5 dogs (23%) (Figs. 6 and 7). Radiologically visible fistulous tracts, communicating with bone, were visible in the same percentage of patients (Fig. 8).

Fig. 6. Lateral radiograph of the humerus in patient 11/28.03.91, six weeks after osteosynthesis, and two weeks after removal of the implant. The thin arrow shows a secondary sequestrum; the thick arrow - suppurative exudate; the cross - osteosclerosis.

Fig. 7. Lateral radiograph of the femur in patient 24/24.09.91, six weeks after osteosynthesis, and three weeks after removal of the implant. The thin arrow shows a secondary sequestrum; the thick arrow - suppurative exudate; the cross - osteosclerosis.

Fig. 8. Lateral radiograph of the humerus in patient 3/16.02.90, six weeks after osteosynthesis. The arrows show a fistulous tract communicating with the osteomyelitic focus. Data are presented as the number (n) of cases.
By the end of week 8, sequestra formed in another 4 dogs (18%). The most frequently occurring sign was the formation of a sclerotic buttress around already formed and newly formed sequestra - 14 or 64%. In the same period, a further three cases with Brodie's abscess appeared.
After the eighth week, radiological signs typical of osteomyelitis appeared rarely. In our observations, sequestra formed in only 9% of patients, and fistulous tracts in just 14%. These were cases of recurrence or, of fixation implants not removed in time.
Discussion
The course of osteomyelitis in animals is chronic, differing from that in humans, where it is acute and dynamic. The slow course of the process is the cause of the extremely variable radiographic appearance of osteomyelitis.
The radiological studies were performed over a long period of time (up to 4 months). The characteristic features in almost every sick animal were that, together with osteolysis, a periosteal reaction developed. In the beginning, the periosteum became elevated due to the exudate (Figs. 1 and 2) which exited through the Haversian and Folkmann channels.
A similar radiographic picture with new bone formation was reported by Stead (1984).
In the majority of cases we established a multilamelar affection manifested with increased bone density and a change in the thickness of bone. A similar radiological picture is observed in a normally healing fracture, but the periosteal changes are restrained around the fracture site, while in the case of osteomyelitis the periosteal reaction could extend for a considerable distance on either side of the area of infection. Another element is focal osteolysis. If the strong periosteal reaction is a consequence of an unstable fixation of a fracture, after the joining of the two bone ends through the callus, a remodelling of bone begins. In cases of osteomyelitis, however, that did not occur.
The type of periosteal reaction described by us differs from that reported by Velichkov (1983) in humans. Most probably, the difference is determined by the different reactivity of men and dogs, as well as by different conditions in the postoperative period.
During the development of osteomyelitis, sequestra are formed, although not always. According to Velichkov (1983) they are partial and total, compact and cancellous. In our opinion, sequestra could be considered as primary and secondary also. Primary ones are with a size equal to that of a fragment, not involved in the healing process, while secondary ones are small and sometimes scarcely visible. The fragment turns into a sequestrum at the moment when there is no connection with the soft tissues, or where it is not well adapted or fixed to the principle bone ends.
The mechanisms of secondary sequestral formation are somewhat different. As a consequence of bone inflammation, thrombosis of the blood vessels in the haversian and Volkmann's canals occurred (Kahn and Pritzker, 1973). The supply to that area is impaired, it becomes necrotic and a sequestrum is formed.
Another radiological sign of osteomyelitis is osteosclerosis. It represents a reaction of bone, attempting to confine the infection. In most cases, it is apparent as a ring with a denser shadow and of different thickness. When a sequestrum is present, the sclerotic margin forms the so-called sequestral box. This occurs when the organism has fought the infection.
An important radiological feature is the Brodie's abscess. It was present in only 14% of the cases we studied. It is characterized by a round shape without sequestrum, with smooth, well-defined contours. It is localized within the sclerotic cancellous tissue in the metaphyses of long bones.
The radiological diagnosis of osteomyelitis must always be considered together with the clinical picture and the results of the microbiological study. All radiological symptoms may not be present in a single case. Sometimes, one or two features would suffice for making a definite diagnosis. In other cases, the presence of too many features makes the diagnosis more difficult.
Conclusion
The polymorphism in the radiological picture of canine posttraumatic osteomyelitis is the cause of its complicated diagnostics. The monitoring of radiological features in dynamics every two weeks permits their proper interpretation. Despite this, the variety of features makes differential diagnosis more complete and more definite.
References
BOOTH, L. C., D. A. FEENEY (1982): Superficial osteitis and sequestrum formation as a result of skin avulsion in the horse. Vet. Surgery 11, 2-8.
BRADEN, T. D., H. W. TVEDTEN, U. V. MOSTOSKY (1989): The sensitivity and specificity of radiology and histopathology in the diagnosis of post-traumatic osteomyelitis. Vet. Comp. Ortho Trauma 3, 98.
BRADEN, T. D. (1991): Post-traumatic osteomyelitis. Vet. Clinics North America: Small Animal Practice 21, 781-811.
CAYWOOD, D. D. (1983): Osteomyelitis. Vet. Clinics North America: Small Animal Practice 13, 43-53.
CHASTANG, P. L. E. (1976): Radiodiagnostic differentiel de l'osteomyelite - Cancers de l'os. These. Ecole Nat. Vet. Toulouse. p. 57.
HULIN, M. A. L. (1970): Contribution a l'etude de l'osteomyelite chez le chien. Th. Doct. Vet. Alfort. p. 1-8.
KAHN, D. S., K. P. H. PRITZKER (1973): The pathophysiology of bone infection. Clin. Orthop. Rel. Res. 96, 12.
POPKIROV, S. G. (1987): Posttraumatic osteitis. Medicine and Physical Education. Sofia.
STEAD, A. C. (1984): Osteomyelitis in the dog and cat. J. Small Animal Practice 25, 1-13.
VELICHKOV, L. (1983): Radiological and radioisotope diagnostics of bone diseases. Medicine and Physical Education. Sofia.
WIGNEY, D. I., G. S. ALLAN, L. E. HAY, A. D. HOCKING (1990): Osteomyelitis associated with penicillium verucosum in a German shepherd dog. Vet. Surgery 31, 449-452.
Received: 11 December 1997
Accepted: 7 June 1999
Pascalev, M.: Radioloska slika posttraumatskog osteomijelitisa u pasa. Vet. arhiv 69, 149-159, 1999.
SAZETAK
Pracena je radioloska slika posttraumatskog osteomijelitisa u 22 psa razlicitih pasmina koji su kirurski obradeni na razlicite nacine. Opisane su glavne postoperativne radioloske osobitosti osteomijelitisa pasa. Zakljuceno je, da je raznolikost radioloske slike posttraumatskog osteomijelitisa uzrok teskocama u postavljanju pravilne dijagnoze. Preporuceno je, da se pacijenta radioloski prati svaka dva tjedna, kako bi se s vecom sigurnoscu razumjelo bolest i doslo do konacne i prave dijagnoze postraumatskog oseomijelitisa u pasa.
Kljucne rijeci: osteomijelitis, rendgenologija, radiologija, pas